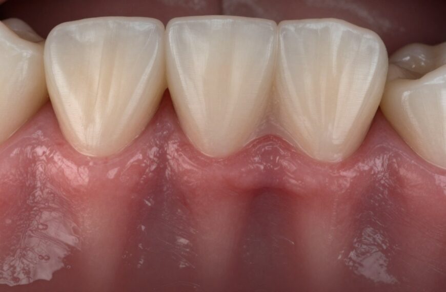
Bolące dziąsła – przyczyny: najczęstsze źródła bólu i jak je odróżnić
Czy niewielki dyskomfort przy szczotkowaniu to tylko chwilowe podrażnienie, czy sygnał poważniejszego stanu? Ból dziąseł najczęści…
Dowiedz się więcejJak długo zrasta się ścięgno Achillesa? Etapy gojenia i realne terminy powrotu
Czy jeden termin w kalendarzu wystarczy, by zaplanować powrót do sportu po urazie piętowym? Ścięgno piętowe to najsilniejsza struk…
Dowiedz się więcejNaturalne preparaty na poprawę wzroku – składniki, działanie i jak nie dać się nabrać
Czy suplementy i zioła mogą zmniejszyć zmęczenie oczu lub uchronić przed pogorszeniem widzenia? To pytanie zadamy od razu, bo bran…
Dowiedz się więcejCzy naprawdę warto czekać, aż chwilowy ból zniknie sam, skoro jedno złe pociągnięcie może oznaczać operację? W tym wstępie wyjaśnimy, co oznacza pozostawienie problemu bez…
Czy wiesz, że nawet drobne skrócenie ścięgna piętowego może zmienić sposób, w jaki stawiasz stopę i chodzisz? To pytanie otwiera ten poradnik. Wyjaśnimy, czym jest…
Czy naprawdę jedno krótkie leczenie może uwolnić cię od okularów na całe życie? To pytanie często pada podczas pierwszej konsultacji i skłania do głębszego poznania…
Czy naprawdę każdy ból przy pięcie oznacza zapalenie ścięgna? To pytanie zmusza do zatrzymania się i sprawdzenia faktów. Potoczne określenie często myli, bo problem zwykle…
Krople na poprawienie wzroku – kiedy działają, jakie wybrać i na co uważać
Czy jedno zakroplenie może naprawdę odświeżyć obraz i zmniejszyć zmęczenie oczu? Wiele osób oczekuje szybkiej ulgi po preparatach z apteki. W praktyce większość środków ma działanie miejscowe: nawilżają i stabilizują film łzowy, co przekłada się na wygodę i wyostrzenie postrzegania.…
Rehabilitacja wzroku – na czym polega, dla kogo i jakie ćwiczenia stosuje się najczęściej
Czy terapia widzenia może naprawdę poprawić jakość życia, gdy okulary i leki nie wystarczają? Terapia widzenia to indywidualny program ćwiczeń, który trenuje nie tylko oczy, ale cały system widzenia i…
Od czego psuje się wzrok – najczęstsze przyczyny i jak im zapobiegać na co dzień
Czy proste nawyki codzienne mogą szybciej pogorszyć widzenie niż myślisz? To pytanie skłania do refleksji — nie tylko wiek wpływa na stan oczu. W tym wstępie wyjaśnimy, co oznacza pogorszenie…



















