Czy naprawdę da się szybko złagodzić ból i obrzęk, nie robiąc niczego, co pogorszy infekcję?
Ten krótki przewodnik wyjaśnia, co zrobić „tu i teraz”, gdy pojawi się bolesne uwypuklenie przy zębie lub dziąśle.
Ropień to jama z treścią ropną powstała w wyniku zakażenia przy zębie lub w tkance przyzębia. Doraźne metody mogą obniżyć ból i obrzęk, ale nie usuną przyczyny.
Nie przebijaj ani nie wyciskaj — to podstawowa zasada bezpieczeństwa. Samodzielne nacięcie grozi rozszerzeniem infekcji i powikłaniami.
W dalszej części opiszę objawy alarmowe, bezpieczne płukanki i okłady, błędy, które pogarszają stan, oraz kiedy niezwłocznie udać się do stomatologa lub na SOR.
Celem poradnika jest krok po kroku pomóc przeczekać do wizyty i przygotować się do leczenia, by zmniejszyć ryzyko komplikacji.
Kluczowe wnioski
- Doraźne metody łagodzą ból i obrzęk, lecz nie leczą infekcji.
- Nie przebijać i nie wyciskać zmian samodzielnie.
- Stosować bezpieczne płukanki i zimne okłady tylko tymczasowo.
- Szukaj objawów alarmowych: gorączka, silny ból, trudności w oddychaniu.
- Umów wizytę u stomatologa — to jedyny sposób na trwałe wyleczenie.
Czym jest ropień na dziąśle i skąd się bierze ropa w jamie ustnej
Gdy infekcja w zębie wymyka się spod kontroli, organizm często reaguje tworząc niewielką przestrzeń wypełnioną ropną treścią.
Definicja: To zamknięta jama powstająca w wyniku miejscowego stanu zapalnego. Ropa tworzy się z martwych tkanek, enzymów i leukocytów, które próbują unieszkodliwić zakażenie.
Najczęściej problem zaczyna się od nieleczonej próchnicy. Ząb z zapaleniem miazgi może ulec martwicy i rozsiać infekcję w kierunku korzenia. W efekcie powstaje ropień zęba, zwany okołowierzchołkowym.
Inny typ to zmiana przyzębna, gdzie kieszonki i płytka nazębna doprowadzają do zakażenia między zębem a dziąsłem. Różne lokalizacje w jamie ustnej wpływają na objawy i decyzję o pilnym leczeniu.
„Bakterie w sprzyjających warunkach tworzą ognisko zakażenia, a organizm 'zamyka’ je w postaci ropnia — pozorna ulga, nie rozwiązanie przyczyny.”
- Przyczyny: próchnica, urazy, powikłania po ekstrakcji, źle wyrznięte ósemki.
- Miejsce: korzeń zęba, przyzębie, torbiele zębopochodne lub pozostawione korzenie.
Objawy ropnia zęba i ropnia dziąsła, których nie warto bagatelizować
Ból, który nasila się w nocy i przy nagryzaniu, to sygnał, że nie wolno lekceważyć stanu zapalnego.
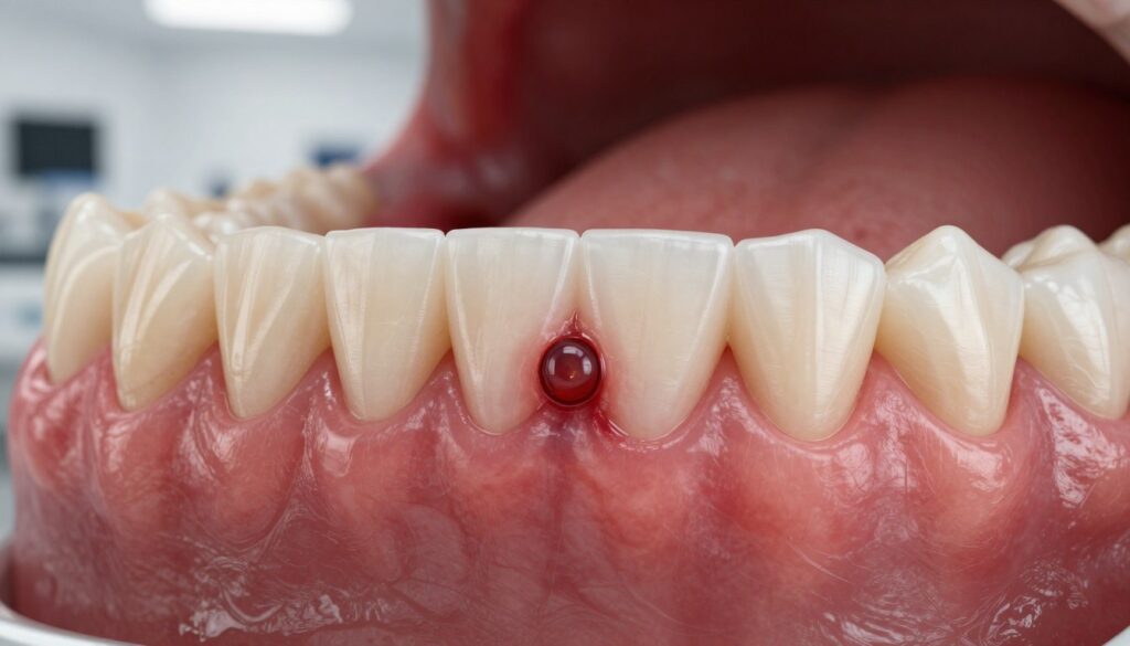
Typowe dolegliwości miejscowe to bolesne uwypuklenie, tkliwość, zaczerwienienie i obrzęk. Ból rośnie przy dotyku i podczas żucia.
Objawy zębowe obejmują uczucie wydłużenia zęba, nadwrażliwość na temperaturę oraz zwiększoną ruchomość.
- Ogólne dolegliwości: gorączka, osłabienie, powiększone węzły chłonne.
- Ropa może powodować nieprzyjemny zapach i gorzki posmak; czasem pojawia się wypływ przez przetokę.
- Sygnały ciężkiego przebiegu: narastająca opuchlizna twarzy, szczękościsk, ból promieniujący do ucha.
„Chwilowe sączenie ropy może złagodzić ból, ale nie usuwa przyczyny i wymaga leczenia.”
| Objaw | Co oznacza | Gdy to występuje |
|---|---|---|
| Ból pulsujący | Aktywny proces zapalny w tkankach | Natychmiast obserwuj rozwój obrzęku |
| Gorączka i osłabienie | Rozszerzenie zakażenia poza okolicę zęba | Szukaj pomocy lekarskiej |
| Wyciek ropy/przetoka | Utrzymujący się drenaż, niezniesienie przyczyny | Zanotuj czas i objawy przed wizytą |
Krótka autokontrola: obserwuj narastanie obrzęku, temperaturę, trudności w przełykaniu i objawy odwodnienia. Zapisz czas pojawienia się dolegliwości oraz przyjęte leki przed wizytą u dentysty.
Ropień na dziąśle – domowe sposoby, które mogą pomóc doraźnie
Szybka reakcja z prostymi środkami może przynieść ulgę, zanim dotrzesz do dentysty.
Płukanka solna: rozpuść 1–2 łyżeczki soli w szklance przegotowanej, ciepłej wody. Płucz usta przez 30–60 sekund, 3–4 razy dziennie. Celem jest ograniczenie namnażania bakterii i wypłukanie resztek z przestrzeni międzyzębowych; to doraźne wsparcie, nie leczenie przyczyny.
Szałwia i rumianek: zalewaj 1–2 łyżeczki szałwii lub 3 łyżki rumianku wrzątkiem, parz 10–15 minut. Stosuj jako płukankę 3–4 razy dziennie. Napary łagodzą stan zapalny i poprawiają komfort.
Gotowe płyny antyseptyczne: bezalkoholowe preparaty (np. GUM PAROEX 0,12%) warto stosować zgodnie z ulotką — pomagają zmniejszyć liczbę bakterii w jamie ustnej i wspierają higienę po zabiegach.
Zimne okłady: przykładamy zewnętrznie na policzek na 10–15 minut, co 1–2 godziny. Nie przyciskaj lodu bezpośrednio do skóry — owiń w materiał. Chłodzenie zmniejsza ból i obrzęk.
- Delikatna higiena: szczotkuj sąsiednie zęby miękką szczoteczką; unikaj drażnienia miejsca zmiany.
- Uwaga praktyczna: samoistne sączenie ropy może dać ulgę, ale nie rozwiązuje problemu. Zaplanuj pilną wizytę u stomatologa.
Czego nie robić przy ropniu na dziąśle, nawet jeśli „pęcherzyk” kusi
Nie próbuj samodzielnie przebić pęcherzyka ani wyciskać zmiany. Takie działanie zwiększa ryzyko rozszerzenia zakażenia i powstania głębszych ran.
Dlaczego to niebezpieczne? Ropa może przemieścić się do głębszych tkanek, a pozorne opróżnienie nie usuwa źródła problemu. Przyczyną często bywa martwa miazga lub kieszeń przyzębna, które wymagają profesjonalnego leczenia.

Unikaj gorących okładów i „wygrzewania”. To może nasilać obrzęk i przyspieszyć szerzenie stanu zapalnego. Nie płucz też jamy ustnej agresywnie pod dużym ciśnieniem — to może rozsiać zakażenie.
- Nie odkładaj wizyty, gdy ból nagle mija po pęknięciu ropnia — to fałszywe uspokojenie.
- Nie stosuj zaległych antybiotyków bez konsultacji; nie przerywaj kuracji wcześniej niż powie lekarz.
- Nie dłub w okolicy wykałaczką ani językiem; nie wciskaj resztek pokarmu w ranę.
„Jeżeli treść ropna pojawia się i objawy słabną, i tak konieczna jest konsultacja i właściwe leczenie u stomatologa.”
W przypadku konieczności oczekiwania na wizytę, skup się na kontroli objawów: chłodne okłady zewnętrzne, delikatne płukanki solne i monitorowanie temperatury. Priorytetem jest bezpieczeństwo, nie samodzielne „usuwanie” pęcherzyka.
Kiedy potrzebna jest pilna pomoc stomatologa lub nawet leczenie szpitalne
Szybko postępujące powiększenie się zmiany w jamie ustnej może wymagać natychmiastowego leczenia stomatologicznego lub szpitalnego.
Kryteria „pilnie dziś”: gwałtownie narastający obrzęk, ból nie do opanowania lekami dostępnych bez recepty, wysoka gorączka oraz wyraźne pogorszenie samopoczucia. W takim przypadku nie zwlekaj z kontaktem ze stomatologiem.
Objawy alarmowe, które wymagają natychmiastowej pomocy, to: szczękościsk, trudność w połykaniu, narastająca asymetria twarzy, oznaki odwodnienia oraz kołatanie serca lub tachykardia.
Dlaczego to groźne: zakażenie może szerzyć się wzdłuż przestrzeni powięziowych głowy i szyi oraz drogą krwionośną. Stan taki zagraża tkanek i może wymagać hospitalizacji przy szerzącym się zapaleniu.
- Grupy ryzyka: osoby z obniżoną odpornością, chorobami autoimmunologicznymi oraz dzieci — przebieg może być cięższy.
- Co robić praktycznie: szukaj dyżuru stomatologicznego lub SOR przy ciężkich objawach. Przygotuj listę leków, alergii i czas trwania objawów.
„Domowe metody w tej fazie są niewystarczające i nie powinny opóźniać interwencji.”
Jak leczyć ropień u dentysty i jak wygląda zabieg w gabinecie
Wizyta u dentysty skupia się nie tylko na złagodzeniu bólu, lecz przede wszystkim na usunięciu przyczyny zakażenia.
Cel wizyty to drenaż ogniska zapalnego i trwałe leczenie źródła zakażenia, czy to zębopochodnego, czy przyzębnego.
Przy nacięciu zmiany na dziąśle lekarz stosuje znieczulenie miejscowe, wykonuje nacięcie i oczyszcza jamę antyseptycznie. Czasem zakłada się sączek i umawia kontrolę następnego dnia.
W przypadku ropnia zęba standardowe postępowanie to otwarcie zęba, opracowanie kanałów (leczenie endodontyczne) i ich wypełnienie. Kontrola radiologiczna potwierdza poprawne zamknięcie kanałów.
Ekstrakcję rozważa się, gdy ząb nie nadaje się do odbudowy lub zakażenie nawraca mimo leczenia. Decyzja jest indywidualna i zależy od stanu korzenia i miazgi.
| Procedura | Co obejmuje | Okres kontroli |
|---|---|---|
| Nacięcie i drenaż | Znieczulenie, nacięcie, płukanie, sączek | Kontrola po 24–48 h |
| Leczenie kanałowe | Otwarcie zęba, opracowanie i wypełnienie kanałów | Kontrola i zdjęcie RTG po kilku tygodniach |
| Ekstrakcja | Usunięcie zęba, oczyszczenie zębodołu | Kontrola gojenia 7–14 dni |
Przyczyny niepowodzenia leczenia to np. nietypowa anatomia kanałów, niepełne opracowanie lub złamane narzędzie. W takim wypadku potrzebna jest szybka diagnostyka i ponowna interwencja.
- Obserwuj obrzęk i ból po zabiegu.
- Utrzymuj higienę jamy ustnej zgodnie z zaleceniami lekarza.
- Stosuj przepisane leki i zgłoś pogorszenie stanu.
„Stomatolog nie tylko wypuszcza ropę — usuwa przyczynę i planuje dalsze leczenie, aby zapobiec nawrotom.”
Antybiotyk na ropień zęba: kiedy ma sens i dlaczego nie zastąpi leczenia
Decyzję o zastosowaniu antybiotyku podejmuje lekarz, oceniając objawy i ryzyko szerzenia się infekcji.
Antybiotyk bywa konieczny przy objawach systemowych — wysoka gorączka, złe samopoczucie, odwodnienie czy tachykardia — oraz gdy zakażenie się rozprzestrzenia lub pacjent ma osłabioną odporność.
Farmakoterapia kontroluje bakterie i zmniejsza stan zapalny, ale nie zastąpi drenażu ani usunięcia źródła problemu. Bez zabiegu stomatologicznego infekcja może nawracać.
W praktyce empirycznej często wybiera się amoksycylinę; przy uczuleniu na penicyliny alternatywą jest klindamycyna. Zawsze pod nadzorem lekarza.
Nie należy brać antybiotyku „na własną rękę” — grozi to opornością, maskowaniem objawów i opóźnieniem właściwego leczenia. Podczas kuracji nie przerywaj przyjmowania leków i zgłaszaj każdą zmianę objawów stomatologa.
„Antybiotyk to dodatek do zabiegu, a nie jego zamiennik.”
Ropień na dziąśle u dziecka – bezpieczne postępowanie i spokój rodzica
Gdy u dziecka pojawi się bolesne uwypuklenie przy zębie, rodzic powinien działać ostrożnie i szybko.
Jak rozpoznać zmianę: pęcherzyk na dziąśle, ból przy jedzeniu, płacz i rozdrażnienie. Czasem występuje gorączka i nieprzyjemny zapach z ust.
Zasady bezpieczeństwa: nie przebijać ani nie wyciskać. Nie sprawdzaj igłą i nie stosuj agresywnych preparatów bez konsultacji.
Co można zrobić doraźnie: delikatna higiena okolicznych zębów, chłodny okład zewnętrzny. U młodszych przykładamy gazę nasączoną naparem z szałwii, u starszych rozważyć łagodne płukanki.
| Objaw | Co zrobić doraźnie | Kiedy jechać do stomatologa |
|---|---|---|
| Pęcherzyk/uwypuklenie | Chłodny okład, delikatna higiena | Jeśli obrzęk narasta lub pojawia się gorączka |
| Ból przy żuciu | Miękka dieta, kontrola temperatury | Gdy ból nie ustępuje po kilku godzinach |
| Gorączka lub złe samopoczucie | Monitorować, podać leki zgodnie z zaleceniami lekarza | Natychmiast — możliwe zagrożenie hospitalizacją |
Dlaczego czas ma znaczenie: zapalenie w zębach mlecznych może postępować bardzo szybko. Zwlekanie zwiększa ryzyko powikłań i utraty zębów.
Przygotowanie do wizyty: zapisz objawy i ich czas, zmierz temperaturę, zanotuj leki i alergie. Umów szybki termin u stomatologa dziecięcego — leczenie w gabinecie jest zwykle krótkie i skuteczne.
Jak zmniejszyć ryzyko nawrotu ropnia po wyleczeniu i zadbać o dziąsła na co dzień
Po zakończonym leczeniu utrzymuj regularne wizyty kontrolne i obserwuj objawy przy zębie. Kontrole po leczeniu kanałowym i zdjęcia RTG przez rok pomagają wykryć problem wcześnie.
Codzienna higiena to szczotkowanie dwa razy dziennie, nitkowanie i oczyszczanie linii dziąseł. To ogranicza płytkę i zmniejsza ryzyko choroby przyzębia, która sprzyja nawrotom.
Unikaj odkładania leczenia ubytków. Po ekstrakcji czy drenażu stosuj zalecone płukanki i obserwuj okolicę. Jeśli pojawi się obrzęk, ropa lub narastający ból — skontaktuj się natychmiast.
Krótka check-lista: codziennie higiena; co 3–6 miesięcy przegląd u dentysty; RTG i kontrola po leczeniu kanałowym; natychmiastowa reakcja przy nowych objawach.

Zdrowie traktuję jako temat, w którym warto mieć porządek i sprawdzone informacje. Interesuje mnie profilaktyka, diagnostyka i to, jak podejmować rozsądne decyzje bez paniki i chaosu. Lubię tłumaczyć rzeczy prosto, bo medyczne pojęcia nie muszą brzmieć jak obcy język. Stawiam na odpowiedzialność, spokój i praktyczne podejście do codziennych nawyków.
